Radiologia
Radiologia stomatologiczna to nowoczesna diagnostyka obrazowa, która pozwala dokładnie ocenić stan zębów, kości szczęk i tkanek otaczających. Wykonujemy precyzyjne zdjęcia RTG – punktowe, pantomograficzne, cefalometryczne oraz badania CBCT. Dzięki nowoczesnemu sprzętowi cyfrowemu cały proces diagnostyki przebiega szybko, bezpiecznie i z minimalną dawką promieniowania. Badania radiologiczne przeprowadzane są przez wykwalifikowany personel dbający jednocześnie o komfort i bezpieczeństwo pacjentów
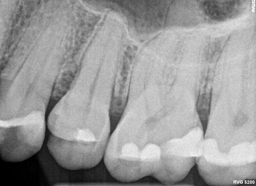
1. Zdjęcie punktowe to precyzyjne badanie radiologiczne pojedynczego zęba i jego okolicy. Umożliwia dokładną ocenę korzeni, kości oraz zmian zapalnych, pomagając w postawieniu trafnej diagnozy i zaplanowaniu leczenia. Prześwietlenie zęba najczęściej wykonuje się przed leczeniem kanałowym lub ekstrakcją.

2. Zdjęcie pantomograficzne to podstawowe badanie RTG, najczęściej wykonywane podczas pierwszej wizyty, które obejmuje wszystkie zęby, kości szczęk oraz stawy skroniowo-żuchwowe. Umożliwia kompleksową ocenę stanu jamy ustnej i planowanie leczenia stomatologicznego.

3. Cefalometria - zdjęcie głowy wykonane w projekcji bocznej, służące do analizy wzajemnego położenia kości twarzoczaszki i zębów, stosowane głównie w ortodoncji i chirurgii szczękowej.

4. CBCT - nowoczesne badanie obrazowe, które umożliwia trójwymiarową ocenę struktur zębów, kości i tkanek twarzoczaszki. Zapewnia wysoką dokładność przy niskiej dawce promieniowania, wspomagając diagnostykę i planowanie leczenia implantologicznego, protetycznego, endodontycznego i ortodontycznego.

